В начале августа 2015 года я заболел, в первый момент посчитал, что это была простуда, хотя кроме обычных симптомов присутствовали боли в боку и сильный кашель, спать мог только на спине.
В течение первой недели занимался самолечением как при обычной простуде, но ситуация не улучшалась, в итоге, когда вызвал врача мне был поставлен диагноз бронхит и рекомендованы антибиотики и обезболивающие, так как обычные обезболивающие мне не помогали. В первый момент создалось впечатление, что дела пошли на лад, температура спала, хотя каждый вечер поднималась снова, интенсивность кашля уменьшилась, да и боли притупились, но не исчезли. У меня практически пропал аппетит, а в дальнейшем организм вообще отказался принимать какую-либо пищу. В результате силы почти полностью оставили меня, я мог пройти за раз не более 30-40 метров, после чего мне был необходим отдых. В итоге через месяц после начала болезни у меня не осталось никаких сил, а вес мой составлял 65 кг, при росте 194 см.
Именно в таком состоянии я начал серию коррекций в сентябре 2015 г., которые проходили в течение трех дней, по три коррекции, в общей сложности было проведено 9 коррекций. После коррекций общее состояние улучшилось и создалось впечатление, что пошел на поправку. Но через неделю после коррекций мне неожиданно резко стало хуже. В течение трёх- четырёх дней состояние стабильно оставалось тяжелым, я практически не вставал, ничего не ел, только пил чай и воду.
![]() Рис.1 |
![]() Рис. 2 |
![]() Рис. 3 |
![]() Рис. 4 |
Перелом наступил где-то через две с половиной недели после начала коррекций, у меня появился слабый аппетит, начал есть бульоны. Ко мне, хоть и медленно стали возвращаться силы. Но общее состояние еще было тяжелое, температура повышалась каждый вечер, да и кашель не проходил.
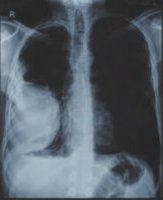
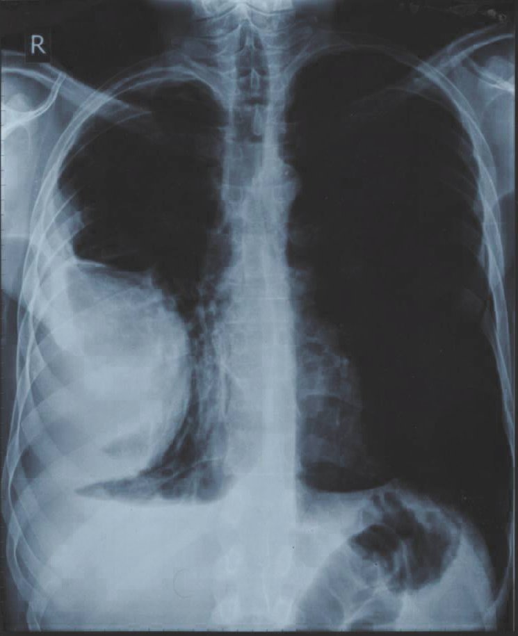
Так или иначе состояние улучшилось настолько, что у меня хватило физических сил наконец-то пройти полное медицинское обследование. Результаты были удручающими, первый же рентгеновский снимок (рис. 1) показал наличие опухоли в лёгком размером с грейпфрут, последующая компьютерная томография показало эту опухоль уже во всей красе (рис. 2). Помимо опухоли, на снимках видно, что заболеванием была полностью затронута печень, именно поэтому организм перестал принимать и перерабатывать пищу. Врачи в один голос требовали срочного оперативного вмешательства. Был поставлен предварительный диагноз – рак, для подтверждения, которого необходимо было провести биопсию, от которой я отказался. Кроме того, мой отказ был мотивирован еще и тем, что вопреки всем исследованиям, по личным ощущениям моё состояние с каждым днем становилось всё лучше.
![]() Рис.5 |
![]() Рис. 6 |
После проведенных медицинских исследований во второй половине октября, была проведена вторая серия коррекций, их было восемь. Но принципиальное отличие от первой серии заключалось в том, что проводились удаленно, по скайпу и по одной в день. Надо отметить, что по ощущениям они были более сильными по воздействию, чем при личном контакте.
В итоге состояние моё улучшилось настолько, что пропала температура, постепенно исчезал кашель, питаться я стал нормально. В декабре я провел еще три коррекции для закрепления результата, хотя самочувствие не вызывало никаких проблем.
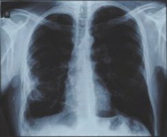
В феврале 2016 был сделан контрольный снимок (рис. 3). Результат был поразительным, от опухоли не осталось и следа, осталась только соединительная ткань на стенке легкого, на снимке она видна как еле заметная пелена.
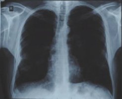
И вот ровно через год после первого снимка контрольный снимок показал абсолютно здоровые легкие, без каких бы то ни было следов перенесенной болезни (рис. 4).
Сергей П.





